We Accept Most Insurance and Medicare | We do not accept Medicaid
Our practice offers services in Arabic and Spanish

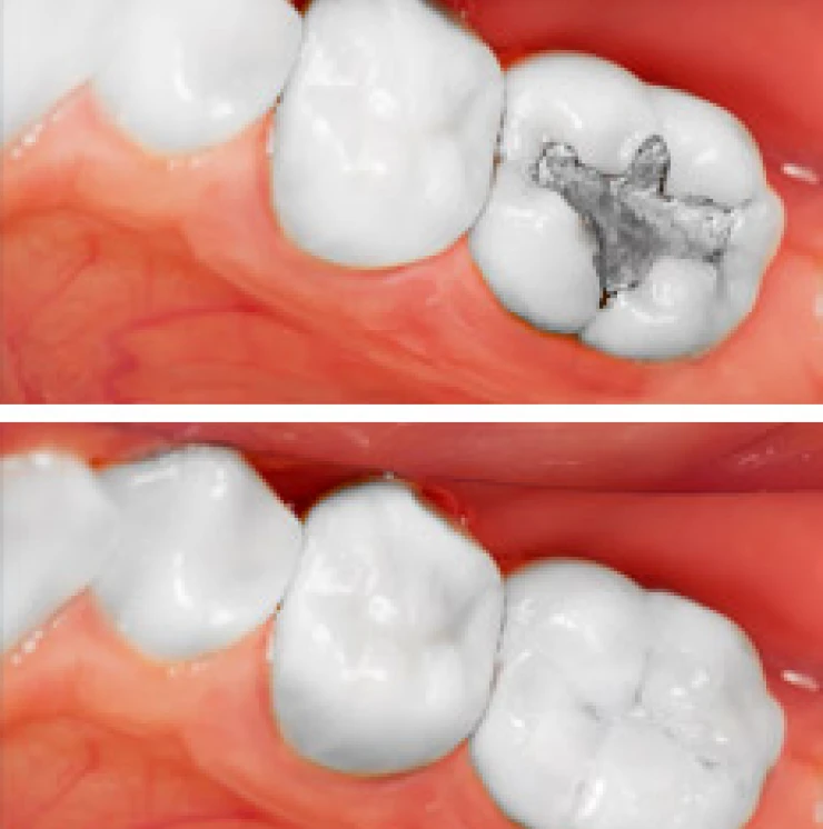
Dental Fillings In Tampa, FL

Dental fillings are a common and effective solution for restoring teeth damaged by cavities, cracks, or wear. They help stop decay, protect your tooth’s structure, and restore functionality, all while blending seamlessly with your natural teeth. Your confidence and oral health can greatly improve by receiving the proper dental filling if you have decayed or damaged teeth.

At Tampa Dental Studio, we specialize in providing high-quality dental fillings tailored to your needs. Our highly experienced team will assist you in maintaining a beautiful and healthy smile.

Signs You May Need Dental Fillings

Recognizing the signs that you may need a dental filling is essential for early intervention. Common symptoms include:
Signs You May Need Dental Fillings
What Are Dental Fillings

What Are Dental Fillings?

Dental fillings are a restorative treatment that repairs teeth damaged by cavities, cracks, or minor chips. They fill the affected area, prevent further decay, and restore the tooth’s shape and functionality. Dental filling is also known as:

At Tampa Dental Studio, we offer a variety of dental filling options tailored to your needs. Our dentists carefully evaluate your situation and recommend the most suitable filling material to restore your tooth’s health and appearance.

Types of Dental Fillings Offered at Tampa Dental Studio

At Tampa Dental Studio, we provide various dental filling options to meet your unique needs. Each type of filling material has its benefits, and our skilled dentists guide you in choosing the best option for your dental health and aesthetic preferences.

Composite (Tooth-Colored) Fillings

Composite fillings are made of resin that matches the color of your natural teeth, making them a good choice for visible areas. The resin is mixed and placed directly into the cavity, where it hardens and seamlessly blends with your tooth.
Types of Dental Fillings Offered at Tampa Dental Studio
Amalgam (Silver) Fillings

Amalgam (Silver) Fillings

Amalgam fillings are made from a mix of metals, including silver, tin, and mercury. They are known for their strength and are often used for molars and less visible areas.

Ceramic (Porcelain) Fillings

Porcelain fillings, also known as inlays or onlays, are customized in a dental laboratory and then bonded to the tooth. They match your tooth color and provide excellent durability.
Ceramic (Porcelain) Fillings
gold Fillings

Gold Fillings

Gold fillings are crafted in a lab and then cemented into place. They are highly durable and can last over 20 years, making them an excellent long-term investment. Gold fillings are also well-tolerated by gum tissues.

Benefits of Dental Fillings

Tampa Dental Studio offers dental fillings with a range of advantages that improve both your oral health and confidence. Here are the key benefits:

Benefits of Dental Fillings

Meet Our Dental Team

Dr

Michail Zakher, DDS

Dr. Michail Zakher brings extensive expertise and a compassionate approach to restorative dentistry at Tampa Dental Studio. Dr. Zakher graduated from Touro College of Dental Medicine and the University of South Florida in Tampa with a Bachelor of Biomedical Sciences. With certifications in advanced dental laser technology, he ensures gentle and precise treatments for every patient. Dr. Zakher is a reliable partner in your oral health journey because of his commitment to creating positive dental experiences.

Mirna Ghobrial, DDS

Dr. Mirna Ghobrial is committed to providing exceptional restorative dental care with a focus on clinical excellence. She earned a Bachelor of Science in Biomedical Sciences from the University of South Florida and her DDS from Touro College of Dental Medicine. Certified in dental laser technology, Dr. Ghobrial specializes in minimally invasive procedures tailored for every patient. Her kind and amiable manner creates a comfortable environment, ensuring every patient feels at ease during their visit.

DR. 1

The Dental Filling Process at Tampa Dental Studio

At Tampa Dental Studio, we prioritize your comfort and oral health throughout the dental filling procedure. Here’s what you can expect during your visit:

1-4.

Examination and Diagnosis

We start with a comprehensive examination, which may include X-rays to determine the extent of decay or damage. This step helps us determine the best treatment plan and filling material for your needs.

2-4.

Numbing and Preparation

We use a local anesthetic to numb the affected area so that you have a pain-free experience. Once the area is fully numb, we carefully remove any decayed or damaged tissue from the tooth using advanced tools.
3-4.

Filling Placement

The chosen dental filling material is placed into the prepared cavity. For composite resin fillings, we use a curing light to harden the material in layers, ensuring durability. The filling is then shaped to restore the natural contours of your tooth.
4-3.

Polishing and Adjustments

After the filling is in place, we polish it to smooth rough edges and give it a seamless finish. We also check your bite to ensure the filling feels comfortable and aligns perfectly with your other teeth.
5-4.

Sedation Options (Optional)

If you feel anxious about dental procedures, we offer sedation options to help you stay calm and relaxed throughout your appointment.

FAQs

What type of dental filling is best?
Composite resin fillings are often considered the best because they provide a natural appearance and match your tooth color. They are particularly popular for front teeth and visible areas, offering a blend of aesthetics and functionality.
Dental fillings are not painful, as dentists use a local anesthetic, such as lidocaine, to numb the treatment area, ensuring you feel no discomfort. Any uneasiness is usually related to anxiety rather than the procedure itself.
Composite and porcelain fillings are considered the safest options. They are mercury-free, durable, and biocompatible, making them ideal for treating cavities while ensuring a natural appearance and minimizing health risks.
Dental fillings are highly durable but not permanent. Over time, they suffer from wear and tear and may need replacement. Your dental fillings can last 10 to 20 years, depending on the material used.
Why Choose Tampa Dental Studio for Dental Fillings

Why Choose Tampa Dental Studio for Dental Fillings?

At Tampa Dental Studio, we understand that every patient is unique. Our experienced team takes the time to listen to your needs and provides tailored dental filling solutions that prioritize both function and aesthetics.

We invest in the latest dental equipment to ensure the most precise placement of your fillings. This guarantees a smoother procedure, quicker recovery, and optimal results.
Your comfort is our top priority. From a welcoming atmosphere to sedation options for anxiety-free visits, we’re committed to providing a stress-free experience. Plus, our convenient Tampa location makes it easy to access top-quality care close to home.

Book Your Appointment Today!

Don’t let cavities or damaged teeth affect your confidence and oral health. Trust Tampa Dental Studio for expert dental fillings in Tampa, FL, and see the difference yourself. Call us today to schedule your appointment. You can also book online or visit our conveniently located office.

DENTAL FINANCING OPTIONS AT Tampa Dental Studio

Our office is in-network with all major insurance providers. Please bring your insurance card to each appointment so we can make sure your information is as up-to-date as possible. If you do not find your insurance provider here; please call at (813)-212-3815 for clarity.

Cash Logo

CASH

Bank Logo

CHECK

debit Credit card

DEBIT AND CREDIT

flexible 12

FSA

care-credit-logo
cherry Logo